고객과의 이야기
병원 공지사항 및 이벤트
Total 2
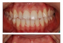
교정치료 사례 2
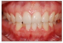
교정치료 사례 1
제목
내용
제목+내용
회원아이디
회원아이디(코)
글쓴이
글쓴이(코)
and
or