고객과의 이야기
병원 공지사항 및 이벤트
작성일 : 13-07-05 14:27
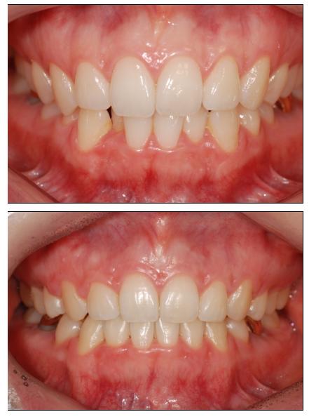
교정치료 사례 2
글쓴이 :
Dentistar
조회 : 1,768
부정치열로 인한 교정 사례