고객과의 이야기
병원 공지사항 및 이벤트
작성일 : 13-07-05 16:42
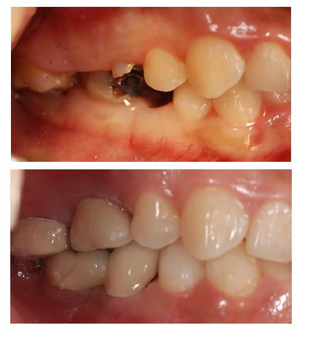
임플란트 사례 6
글쓴이 :
Dentistar
조회 : 1,881
구치부 임플란트 사례 2