고객과의 이야기
병원 공지사항 및 이벤트
작성일 : 13-07-05 12:28
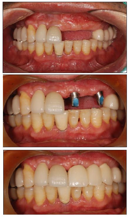
임플란트 사례 4
글쓴이 :
Dentistar
조회 : 1,985
전치부 임플란트 사례 3