고객과의 이야기
병원 공지사항 및 이벤트
작성일 : 13-07-05 16:04
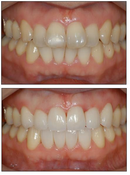
심미보철 사례 7
글쓴이 :
Dentistar
조회 : 1,888
치아변색과 부정치열로 인한 심미보철 사례