고객과의 이야기
병원 공지사항 및 이벤트
작성일 : 13-07-05 16:00
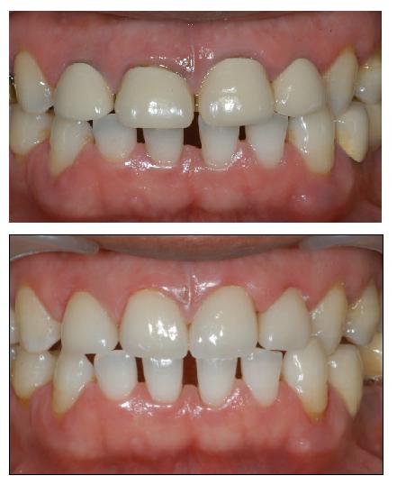
심미보철 사례 6
글쓴이 :
Dentistar
조회 : 1,872
기존 보철물의 금속이 잇몸에 비치는 현상과 짧은 치아 길이로 인한 심미보철 사례