고객과의 이야기
병원 공지사항 및 이벤트
작성일 : 13-07-05 15:36
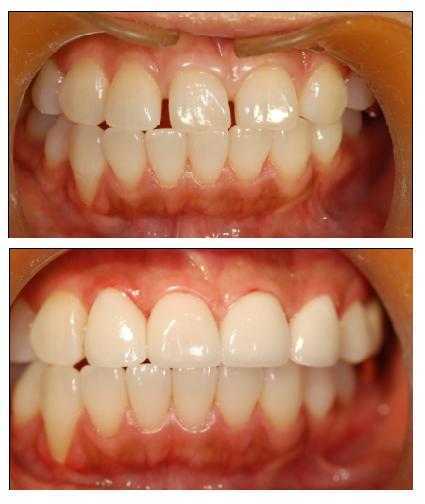
심미보철 사례 3
글쓴이 :
Dentistar
조회 : 1,821
치간공간으로 인한 미백 후 라미네이트 치료 사례